症例の詳細
BEFORE


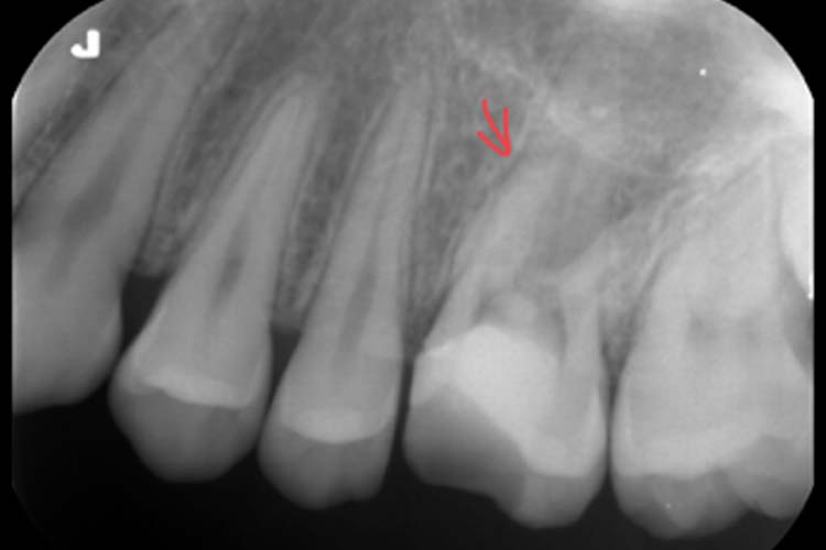
AFTER


マイクロスコープ下での治療経過



| 患者 | 20代 女性 |
|---|---|
| 主訴 | 左上の歯が痛い。 |
| 治療期間 | 6回 約2ヶ月 |
| 治療費 | 保険診療 |
| 治療内容 | 保険診療による精密根管治療、ファイル破折除去 |
| 治療のリスク | 破折ファイルが取れない可能性、破折ファイルを取るために根管内歯質を多少削る必要があります。 |

初診時
左上の奥歯で噛むと痛い。
初診時デンタル所見

根の先まで根管充填がなされていない根管がある。
ファイル様不透過像を認める←根管充填材とは写り方が違う。
診断名
左上6番 慢性根尖性歯周炎・近心頬側根管に根管内異物
治療の流れ
- 被せ物や土台の除去
- 虫歯の有無を確認、歯質の補強(コンポジットレジンにて隔壁)
- 再根管治療を開始
- 古い根管充填材を取り切った上で、破折ファイルを探す
- 破折ファイルを除去
- 本来の根管を見つけ、拡大形成
- 症状がないこと、根管内がきれいであることを確認し、根管充填
- 補綴治療(被せ物)へ移行
ファイル除去後


この症例のポイント
以前の治療にて、器具(ファイル)が破折してしまい本来の根管を塞いでしまったことで、根管内をきれいにしきれず再感染を引き起こしたと考えられます。この場合折れたファイルを取り、根管内の感染を除去することが必須となります。
根管内異物(破折ファイル)は、マイクロスコープ下にて破折ファイルを目視し、根管専用の超音波ファイルを使用して除去していきます。
CTを撮影し、どこの根管で、どのように折れているかなど三次元的に確認することも有用な情報となります。
破折ファイルを除去するための環境が整っていて、専門的な技術力があれば取ることは可能です。しかし、マイクロスコープで目視できない場合や、あまりにも折れている位置が悪く食い込んでいる場合ですと、破折ファイルの除去は著しく困難となります。
器具破折はもちろんあってはならないことですし、どの歯科医も最新の注意を払って治療をしています。
曲がっている根管の治療の際はどうしても器具に負荷がかかってしまうため残念ながら起こりえることだと思われます。
破折ファイルがあることで根尖性歯周炎を引き起こしている場合は除去をしないと完治は見込めません。
ですが逆を言えば、破折ファイルがあっても無症状で根の先に感染を引き起こしていない場合は特に除去する必要はないのです。
そのため、CT撮影にて根尖の感染の有無の確認、破折ファイルを取る必要があるのかどうか、適切な診断が大切となります。