無料矯正相談
実施中
目次

矯正専門のドクターによる
矯正相談
歯並びに関するお悩みはありませんか?「矯正したいけど費用が気になる」「治療期間はどのくらい?」など、気になることは何でもご相談ください。矯正専門のドクターが丁寧にカウンセリングし、あなたに最適な治療プランをご提案します。
まずは、ご自身の歯並びや噛み合わせの状態をしっかり確認し、矯正治療への理解を深めることで、不安や疑問を解消しましょう。患者様それぞれに合った最適な治療方法を見つけられるよう、丁寧にサポートいたします。お気軽にご相談ください。
矯正無料相談の
ご予約はこちらから
矯正治療について

当院の矯正歯科の特徴について
-
大学病院と同レベルの治療
当院の矯正医は、大学病院に勤務している専門の歯科医師です。研修医や学生を指導する立場の矯正医であるからこそ、エビデンスに基づいた確かな治療を提供することができます。
-
最新の世界基準の矯正治療
現代の矯正は、歯科界の中でも特に進歩が著しい分野です。当院の矯正医は、日々臨床と研究に身を置きながら研鑽を積んでいます。従来の治療法だけでなく、科学的根拠が確立された最新の知識と技術を取り入れることで、より確実な「失敗しない矯正治療」を提供しています。
-
口腔内全体を視野に入れた治療
矯正専門の医院だと、矯正以外の歯科治療は対応できないと言われることも多々あります。しかし本来、矯正治療は予防歯科や顎関節、口腔外科、補綴分野などとも密接に関係しているため、口腔内の全体の状態を診断できることが非常に重要です。
当院は様々な分野の専門医が在籍し、口腔内全体をしっかりと診断します。
-
幅広い症例に対応
当院は大学病院と同レベルの治療が可能です。他院にて断られたケースや抜歯を勧められた方、マウスピース矯正はできないと言われた方なども一度お気軽にご相談ください。セカンドオピニオンも兼ねた矯正についての無料相談も行なっています。
カウンセリングについて
- 診査資料内容
(口腔内写真・模型採得・口腔内診査・レントゲン診査(パノラマX線写真、CT、頭部X線規格写真) - カウンセリング
所用時間60分(検査資料をもとに治療計画の内容をお伝えします。患者様にも小さな質問でも良いので、気になる事を聞けるようお時間を長めにしています。)
矯正治療の流れ
1初診相談
2精密検査
3診断・治療計画の
ご説明
4装置装着
5動的治療期間
6保定観察期間
矯正治療の種類

1大人の矯正(ワイヤー矯正)

2マウスピース矯正

3小児矯正
大人の矯正
(ワイヤー矯正)

矯正に年齢制限はありません
本来、矯正歯科治療には年齢制限がありません。どなたでも受けられる治療です。
少し専門的にご説明をすると、歯は顎の骨の中に植立していますが、一つ一つの歯は歯根膜と呼ばれる薄い膜状の組織に包まれています。歯根膜にある細胞の働きで、歯は歯槽骨の中で移動が可能です。歯根膜は一生動きます。そのため、いくつになっても矯正歯科治療を始めることができるのです。
最近では20~30代の患者さまはもちろん、50歳・60歳を過ぎて治療を始める方も少なくありません。
むしろ、人生100年時代と言われている昨今、矯正治療のタイミングはより広がったと思います。実際、40~50代こそ自分の歯の将来を見直すべきタイミングだと思います。
歯も体と同じで、40年、50年使い続ければ、見た目も機能もいろいろと問題が生じてきます。一度自分の歯がどのような状態になっているかを知る良い機会です。
40歳を過ぎてから、歯茎がやせて歯にガタつきやズレが生じたり、歯間の隙間が広くなり、歯並びが貧相になったように感じる人も少なくないはずです。これまで気にならなかった歯のコンプレックスやトラブルが悪化し、矯正を始める人も増えています。
大人の矯正のメリット
- 噛む環境が整い、歯を長持ちさせる事ができる
- 歯のコンプレックスを解消できる
- 噛み合わせが良くなり、肩こりや身体の不調が楽になる。
見えない矯正(裏側矯正)について
裏側矯正の特徴
歯の裏側に器具がつくので目立たないです。
歯の表側に矯正装置がつくので、スポーツをする方や楽器を演奏する方におすすめです。
マウスピース矯正

マウスピース矯正の特徴
- 透明で目立たないため審美的
- 薄いので違和感が少ない
- 従来の矯正治療より通院回数が
少ない - 自由に取り外しが可能で清掃しやすく衛生的
- 金属アレルギーの心配がない
対応できる症例について
マウスピース矯正が得意な動きや不得意な動きがありますので、細かい診査診断をしてから
決めていけたらと思います。
小児矯正

子供の矯正はいつから?
小児矯正のベストな開始時期は個人の状態によって異なります。早期に始めた方がいいお子さんもいれば、時期を待ってから開始した方がいいお子さんもいます。
当院では、小児矯正の専門医がエビデンスに沿って開始時期のご提案を行います。
なぜ「子ども」のときに矯正を
するのか?
乳歯の段階から矯正器具を使用する事で、将来の歯並びを改善できる治療です。
小児から矯正を始めた場合と、成人から矯正を始めた場合では、その費用や身体的負担が大きく異なってきます。近年では、幼少期の歯並びが成長発育に大きく影響することが分かってきたため、予防歯科において特に重要視される分野です。
小児矯正をする4つのメリット
- 成長発育に悪影響を及ぼす悪習癖を改善できる「口呼吸、舌癖、爪を噛む、指しゃぶり」など、放っておくと歯列や咬合だけでなく顔貌や全身の健康にまで悪影響を及ぼすと言われている悪習癖が改善されます。
- 成人の矯正治療を回避できる場合がある「早期治療」や「1期治療」で骨格を整えておくことで、永久歯が理想的に並びやすくなります。そのため、成人矯正で一般的に行う「歯の抜歯」や「骨格の手術」が回避できる可能性が高まります。
- 顎骨の発育をコントロールできる小児矯正は、上下の顎の骨格やバランスを整えることが大きな目的です。例えば、上顎が大きく下顎が小さい場合(出っ歯)などは、上顎の成長を抑制して下顎の成長を促進するような矯正装置が適応になります。
- むし歯や歯周病の予防になる小児矯正治療による通院時は、必ず歯の状態も確認します。早めの予防処置や、必要であれば治療を早期に行う事で生涯のむし歯や歯周病のリスクをぐっと下げることができます。
子供の癖が歯並びに
及ぼす影響

指しゃぶり
- 指を吸う力によって上顎の歯列は狭くなったり、上顎と下顎の噛み合わせがずれ、出っ歯や開咬になる
場合があります。
口呼吸
- 口をポカンと開けていると唇の筋肉が緩む⇒前歯を内側に抑える力が弱くなる⇒前歯が外側に傾く⇒上顎前突、上下顎前突、オープンバイト(前歯が噛まず奥歯だけ噛んでいる)になることがある。
- 口が開いているので舌が上顎に当たる頻度が少ない⇒上顎を内側から押し広げる力が加わらない⇒上顎の成長が不十分になることがある(歯が生える隙間がないので歯並びが悪くなることもある)。
- 舌が下顎の歯列に常に触れている⇒舌が内側から押し広げる力が下顎にだけ高頻度にかかる⇒下顎の空隙歯列(歯と歯の間に隙間がある)になることがあるといったものが想像し易いですが、「口を開く筋肉が常に働く事で前下顔面が高くなる(顔が面長になる)」といったものなど、実際には非常に多くの要素が絡みます。
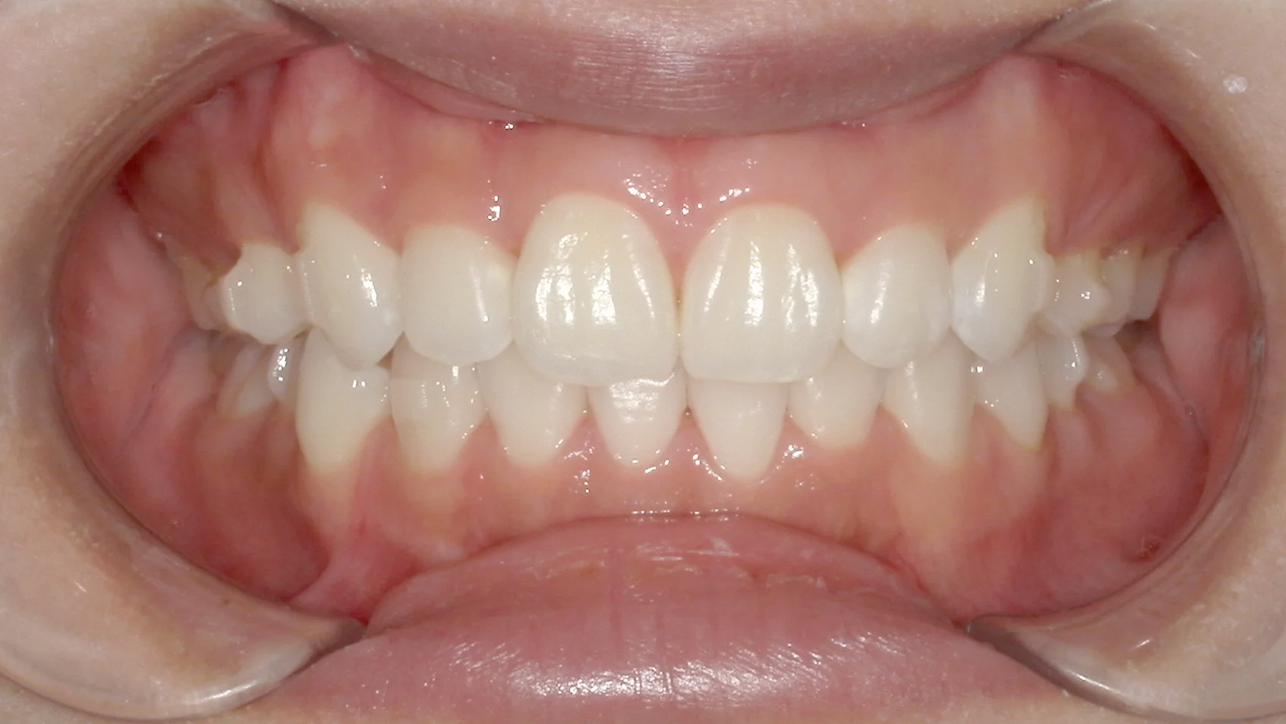
矯正歯科の症例
症例1
BEFORE

AFTER

| 主訴 | – |
|---|---|
| 治療期間 | – |
| 治療費 | – |
| 治療内容 | – |
| 治療のリスク | – |
症例2
BEFORE

AFTER

| 主訴 | – |
|---|---|
| 治療期間 | – |
| 治療費 | – |
| 治療内容 | – |
| 治療のリスク | – |
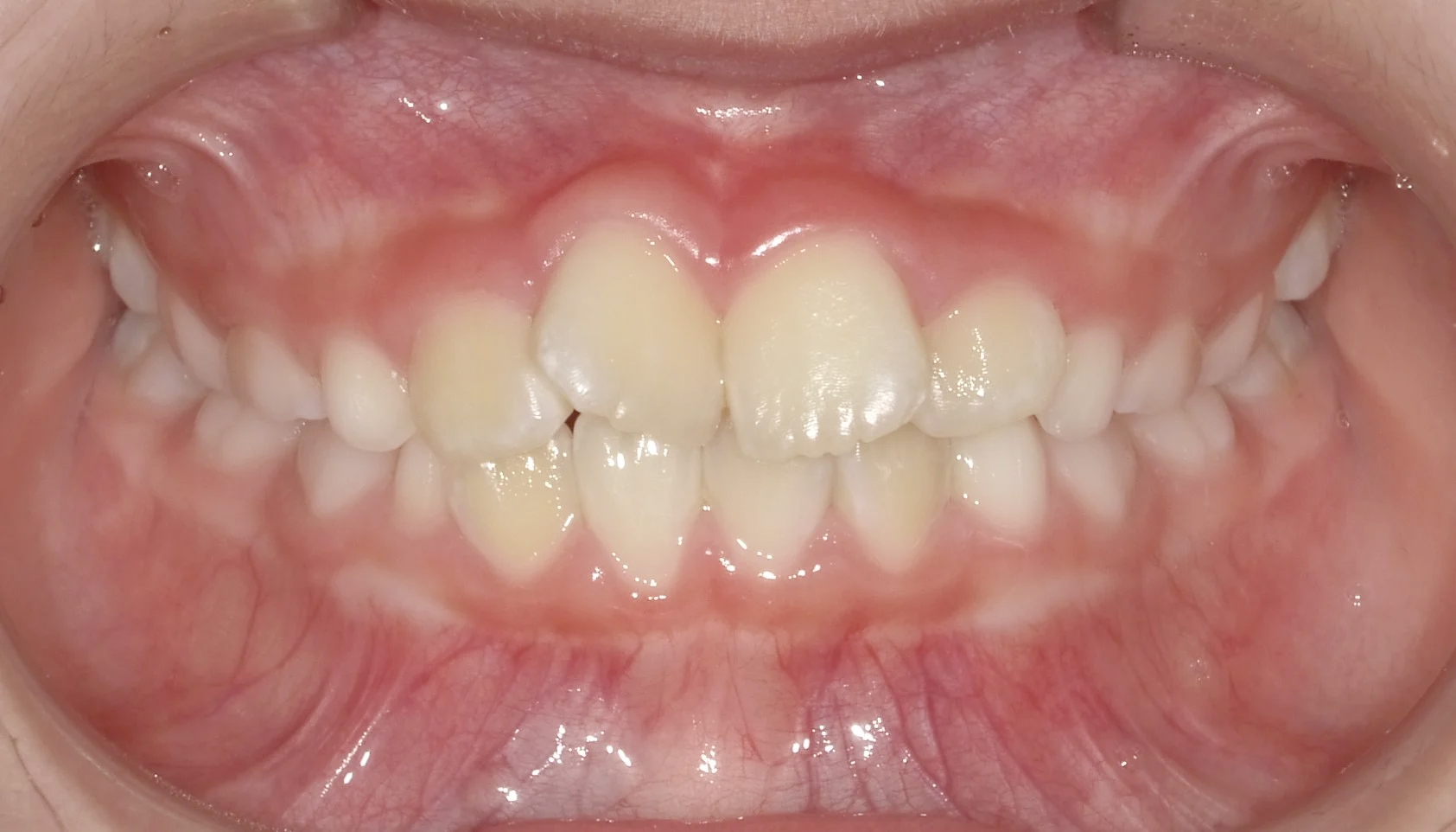
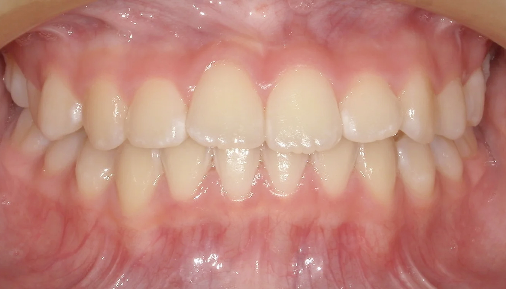
症例3
BEFORE

AFTER

| 主訴 | 前歯がガタガタしている |
|---|---|
| 治療期間 | 3年(生え替わり待機も含む) |
| 治療費 | – |
| 使用した装置 | ・可撤式拡大装置 拡大床 ・筋機能矯正用咬合誘導装置 (マルチファミリー) |
| 治療内容 | 精密検査の結果、叢生が悪化する可能性が高いことから小児矯正を選択。矯正治療およびMFT、食事指導にて、歯並びを改善、永久歯(おとなの歯)が生え揃うまでのフォローアップを行った。 |
| 治療のリスク | 歯根吸収、リセッション、ブラックトライアングルなど稀に生じる可能性があります。 |
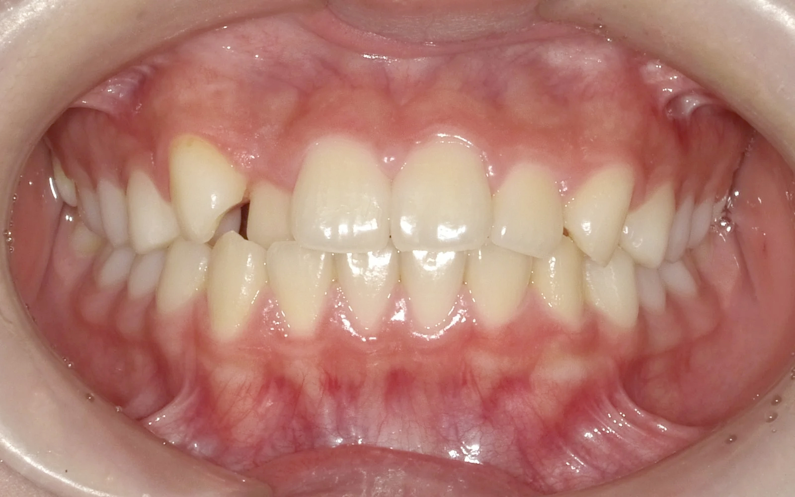
症例4
BEFORE

AFTER

| 主訴 | – |
|---|---|
| 治療期間 | – |
| 治療費 | – |
| 治療内容 | – |
| 治療のリスク | – |