症例の詳細
BEFORE

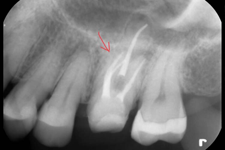
AFTER

| 患者 | 50代 女性 |
|---|---|
| 主訴 | 左上奥歯が噛むと違和感がある。 |
| 治療期間 | 4~5回程度 |
| 治療費 | 精密根管治療(保険診療) 仮歯作成の場合3,000〜5,000円 |
| 治療内容 | 左上6番近心頬側第二根管の見逃しによる再感染のため、マイクロスコープ下にて根管治療を行った。 |
| 治療のリスク | 治療直後〜3日程度、鈍痛や腫れを生じる場合がございます。 |

初診時
痛みはほぼなく、たまに噛むと違和感があるかな?という程度。矯正前治療として他院からの再根管治療。
初診時デンタル所見

根尖病変(+) ←根の先を覆う黒い影(透過像)
3根管ともに根管充填がやや疎
診断名
左上6番 慢性根尖性歯周炎
治療の流れ
- 被せ物を除去、仮歯作成
- 再根管治療を開始
- 古い材料や虫歯を取り切った上で、見逃している根管がないかマイクロスコープやCT撮影にて確認
- MB2(近心頬側第2根管)の存在を確認したため、拡大形成
- 症状がないこと、根管内がきれいであることを確認し、根管充填
- 補綴治療(被せ物治療)へ移行
この症例のポイント
MB2の見逃し、緊密に根管充填がなされていないことが再感染の原因と考えられます。
MB2を肉眼で見つけて治療することは困難な場合が多いため、マイクロスコープやCTを用いて根管治療を行うことが大切です。
根管充填が緊密でないと、またその隙間から再感染の原因となるため緊密な根管充填を心がけています。
この症例は矯正前治療とのことで、患者様の自覚症状があまりない状態で再根管治療を開始しています。
痛くはないけど治療をする理由としては、慢性根尖性歯周炎を残したまま矯正治療を進めると、矯正中は歯にどうしても強い力がかかってしまうため、根の先の炎症に刺激を与え、強い痛みとして症状が出る場合がございます。そうなった場合、根管治療が優先されるため矯正治療の中断を余儀なくされてしまい、結果として治療期間が延びてしまいます。
根管の見逃しとは?
根管治療失敗の原因のひとつに『根管の見逃し』があります。
MB2という小さな根管の発見率において裸眼では18.2%〜51%、ルーペでは41.3%ですが、マイクロスコープを用いると82%〜95.2%になると報告されています。
一度神経を取った歯はどうして
痛くなるのか?
このような疑問を持たれる方が多いかと思います。
神経を取る治療(抜髄)の際、神経の取り残し、虫歯や細菌が残ったまま根管充填をしてしまった、ラバーダム防湿をせず治療を行った場合など、何らかの原因により根管内に残存した細菌が根の先(歯周組織)にまで感染が及ぶことで根尖性歯周炎(根の先に炎症や膿が溜まる状態)を引き起こします。
歯の中の神経(歯髄)と歯周組織の神経は別物なので、歯の周りに炎症が波及した場合は痛みを感じます。
根管治療はいかに根管内の細菌を除去するかが、成功のカギとなります。
また神経取った歯に関しては、定期検診にて再感染が起きてないか確認することをおすすめします。