症例の詳細
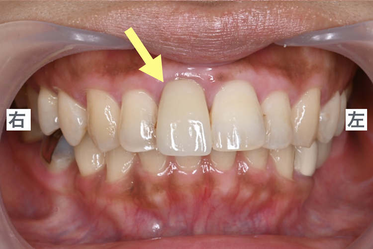
BEFORE

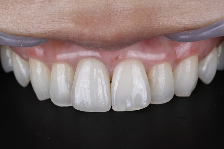
AFTER


| 患者 | 20代 女性 |
|---|---|
| 主訴 | 右上前歯の形が非対称で見た目が 気になる |
| 治療期間 | 平均4回 約1〜2ヶ月 |
| 治療費 | オールセラミッククラウン:165,000円 オフィスホワイトニング1回:33,000円 ガムピーリング:11,000円 |
| 治療内容 | オールセラミッククラウン オフィスホワイトニング ガムピーリング |
| 治療のリスク | 保険適用外のため、保険治療に比べて費用がかかる。 硬いものを好んで食べる方や歯ぎしりで過度な咬合力によりセラミックが欠ける場合がある。 メインテナンスを怠ると、いくらきれいに治しても虫歯の再発の可能性がある。 |
初診時の口腔内写真
前歯の形をきれいにしたい。数年前に入れた被せ物の形が変ということでご来院。
特に、歯の色が周りと合っていない、隣の前歯と大きさが合っていないことが気になるとのことでした。

所見
- 右上1番の補綴物(被せ物)が、
他の歯に比べて長い - 補綴物の色味が単一で自然な色調ではない
(全体と馴染んでいない) - 右上の前歯が出ているように見える、
大きく見える印象 - 補綴物周りの歯肉のラインがいびつ、
歯肉全体に色素沈着が認められる
仮歯セット


技工士が作成した仮歯をもとに、チェアサイドにて数回調整を重ね、患者様の気に入った形態・理想の形態を一緒に模索します。
ラボプロビ(仮歯)は『本番前のリハーサル』です。
補綴物装着後に「もっとこうしたかった…」「こんなはずじゃなかった…」では遅く、ラボプロビ(仮歯)の段階で最終形態のイメージをしっかり擦り合わせることで、双方が満足のいく補綴物を装着することができます。
仮歯が最終的な補綴物の形態になるので、妥協してはならない治療の過程といえます。
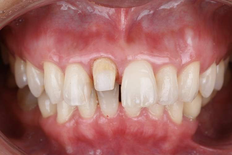
精密印象時

歯肉に炎症がないことを確認し、
問題なければ精密印象へ。
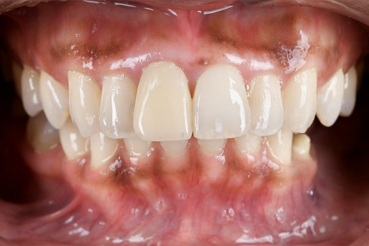
Set時

左右非対称の改善と色調を自然な白さにすることで、全体的に馴染みました。
また、歯肉もガムピーリングを行ったことで健康的なピンクになり、さらに美しい仕上がりになりました。
治療の流れ
- コンサルテーション・
治療方針の決定
材質やメリット・デメリット、費用、治療の流れをコンサルテーションし、治療方針を定め、患者様の同意を得た上で治療を開始します。 - 補綴物(被せ物)の除去、虫歯の確認、
仮歯を装着
隣の歯に虫歯があった場合はこのとき同時に治療します。 - 仮歯の使用感のヒアリング・
歯肉のラインの調整
仮歯の形態が最終的な被せ物の形態になるので、なるべく患者様が納得のいく形態、理想の形態に近づけることがとても大切です。
※材質的に色味を完璧に合わせるのは難しいので、あくまで『形態』のベストを見つけます。 - 歯肉に炎症がある場合、
歯周病の治療 - 精密印象、シェード写真
- 補綴物装着
希望される場合は、技工士の立ち会いも可能です。 - メインテナンスへ移行
この症例のポイント
審美治療は、ただ外して新しい被せ物に交換すればいいだけではないと思っております。
審美面だけでなく、機能面、清掃面においてもその人にとってベストな補綴物(被せ物)を装着することをモットーとしております。
当院の審美治療では、仮歯とヒアリングの時間を大切にしております。
仮歯で理想の形態へ何度も修正し試行錯誤する時間や、また仮歯を使用していただいて気になったことやもっとこうしたいなどの要望をヒアリングをします。
そして、炎症のない歯肉にするための歯周病治療も不可欠です。この患者様の場合、患歯の形態だけではなく、患歯の周りの黒ずんだ歯肉の色味や他の歯の色も気にされていたので、ガムピーリングとホワイトニングを提案し行いました。
歯肉や周りの天然歯が明るくなると、補綴物との色味の調和が取りやすく、結果的にお口全体の印象が明るく健康的な印象を与えます。
セラミッククラウンは経年的な変色がないため、現時点の歯の色味で作るのか、周りの天然歯を白くしてその色味に合わせて作るのか、当院では長期的に使用することを想定して細かいことでもヒアリングするのを心がけております。
補綴物装着後、『毎日鏡を見るのが楽しみになりました』と喜んでくれました。
今回の患者様のように、ご自身の歯を好きになると自然と笑顔も増え、明るい気持ちになります。些細なことでも見た目で気になることがございましたら、お気軽にご相談ください。